Parodontite grave: sintomi, cause e cure per salvare i denti
Parodontite cos’è
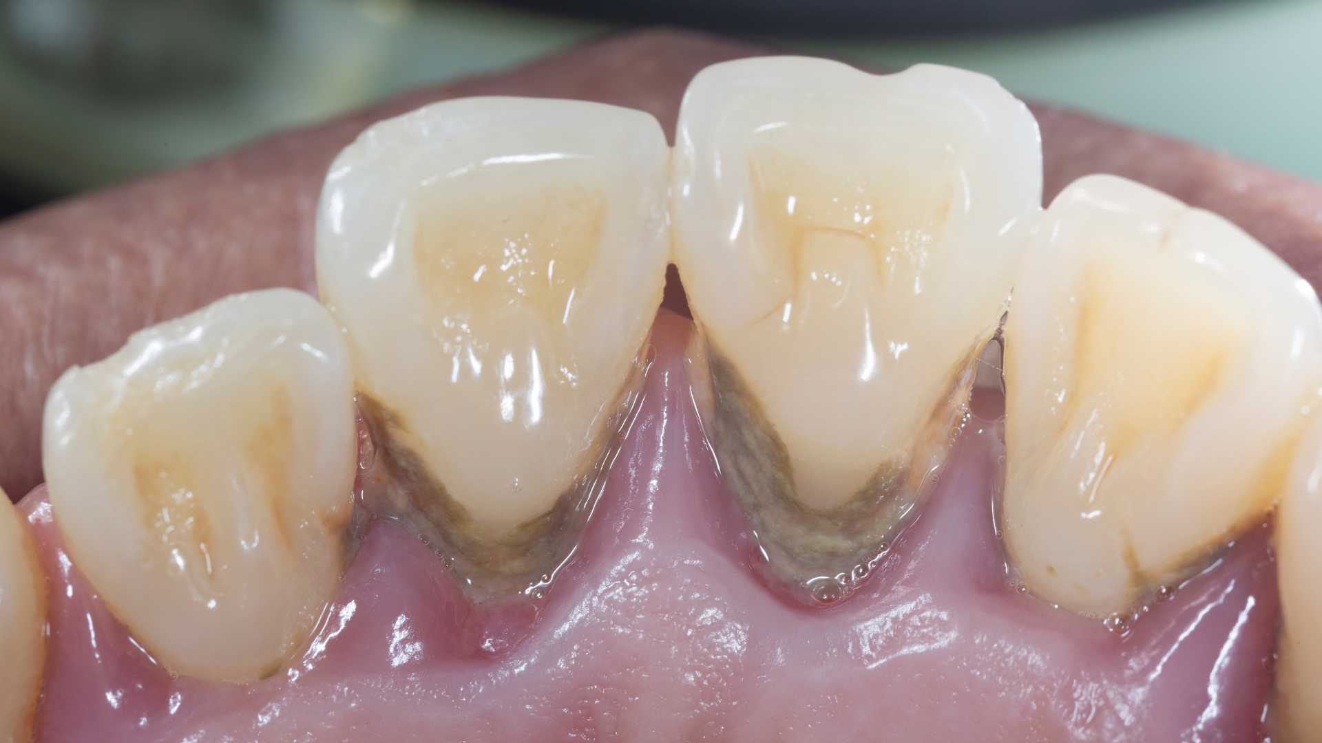
La parodontite grave, conosciuta anche come piorrea, è una malattia infiammatoria cronica che colpisce le gengive e l’osso che sostiene i denti. Nei casi avanzati porta alla mobilità dentale e, senza cure, alla perdita definitiva dei denti.
Il termine piorrea significa “fuoriuscita di pus” dalle gengive, un segnale tipico della fase più avanzata della malattia.
Parodontite sintomi: come riconoscerla in tempo
I sintomi della parodontite, soprattutto nelle forme più serie, sono chiari e non vanno sottovalutati:
-
gengive che sanguinano facilmente;
-
alito cattivo persistente;
-
tartaro visibile tra i denti;
-
gengive che si ritirano;
-
denti che si muovono o cambiano posizione.
Quando questi segni diventano evidenti, spesso si è già in presenza di una parodontite grave.
Piorrea causa: perché si sviluppa la malattia
Le cause della piorrea sono molteplici e spesso si combinano:
-
igiene orale insufficiente;
-
fumo e abuso di alcol;
-
mancato uso del filo interdentale;
-
predisposizione genetica;
-
mancanza di controlli periodici dal dentista.
Ignorare questi fattori di rischio aumenta notevolmente la probabilità di sviluppare una forma avanzata della malattia.
Parodontite grave: dopo quanto cadono i denti?
Una delle domande più frequenti è: “Con la piorrea dopo quanto cadono i denti?”
La risposta dipende dalla rapidità di progressione della malattia e dalla tempestività delle cure. In una parodontite grave non trattata, la perdita dentale può avvenire anche in pochi anni e di punto in bianco.
Parodontite cura: come intervenire davvero
Ma ti starai chiedendo: “Come curare la parodontite?”
La verità è che non esistono soluzioni casalinghe efficaci: solo un trattamento odontoiatrico mirato può fermare la progressione della malattia.
Il protocollo adottato da CARES Odontoiatria si basa su una Full Mouth Therapy, che significa terapia di tutta la bocca e ti permette di:
-
eliminare placca e tartaro in profondità;
-
controllare l’infezione prima che si estenda;
-
ristabilire la salute gengivale per mantenerla nel tempo;
-
programmare richiami periodici per prevenire ricadute e mantenere la salute ottenuta.
Curare la parodontite significa salvare i propri denti e recuperare la stabilità del sorriso.
Parodontite e bicarbonato: mito o realtà?
Molti pazienti mi chiedono se il bicarbonato ed altri rimedi casalinghi possano curare la malattia parodontale e prevenire la perdita dei denti.
La verità è che il bicarbonato purtroppo ha una azione molto blanda, può aiutare a rinfrescare l’alito e rimuovere un po’ di placca superficiale, ma non cura la parodontite grave e può risulta estremamente abrasivo sullo smalto indebolendolo ulteriormente se usato troppo spesso.
Parodontite rimedi della nonna: attenzione ai falsi miti
Gargarismi con sale, limone o tisane, o ancora peggio risciacqui con la grappa… ne ho sentite di tutti i colori! Questi sono tra i cosiddetti rimedi della nonna per la parodontite. Possono dare sollievo momentaneo, ma di certo non risolvono l’infezione né fermano la perdita ossea, se non addirittura contribuire a peggiorare la situazione inserendo ulteriori elementi di irritazione ed infiammazione gengivale.
Acqua ossigenata per piorrea: utile ma non risolutiva
Un altro rimedio fai-da-te molto diffuso è l’uso di acqua ossigenata per la piorrea. Può ridurre temporaneamente i batteri, ma oltre a non eliminare la malattia ed a non sostituire la cura odontoiatrica, se utilizzata su gengive sanguinanti rischia di aggravare il quadro infiammatorio.
Come curare la parodontite grave in modo efficace
Ti stai chiedendo che cosa si deve fare quindi per risolvere veramente la parodontite grave?Il percorso di cura prevede:
-
igiene orale quotidiana corretta;
-
sospensione del fumo e da altre abitudini che irritano osso e gengive;
-
trattamenti professionali mirati effettuati da personale altamente qualificato;
-
visite di controllo regolari.
Solo con un approccio combinato e personalizzato è possibile fermare la progressione della malattia e ristabilire la salute parodontale.
FAQ sulla parodontite grave
1. La parodontite cos’è?
È una malattia cronica che colpisce gengive e osso di sostegno dei denti, provocando nei casi più gravi e non trattati la caduta dei denti.
2. La parodontite si può curare?
Sì, con protocolli odontoiatrici mirati è possibile bloccare la malattia e salvare i denti.
3. Dopo quanto cadono i denti con la piorrea?
Dipende dal grado della malattia e dalla tempestività delle cure: senza trattamento, la perdita può essere rapida.
4. I rimedi della nonna o il bicarbonato funzionano?
No: possono dare un sollievo temporaneo, ma non sostituiscono la terapia professionale e possono avere conseguenze dannose.
Cares Odontoiatria Uta ti offre un protocollo specifico per trattare la parodontite grave, con l’obiettivo di fermare la malattia e restituirti un sorriso stabile, sano e naturale.






