Blog
Cosa fare per le gengive che si ritirano?
Le gengive che si ritirano sono un segnale da non ignorare. Scopri cause, prevenzione e cosa fare davvero.
Implantologia: chi soffre di parodontite può fare impianti dentali?
Chi soffre di parodontite può fare implantologia? In questo articolo scopri quando è possibile inserire impianti dentali, quali sono i rischi e il percorso corretto per ottenere risultati stabili e duraturi nel tempo.
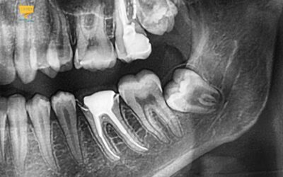
Studio digitale: vantaggi su impianti e chirurgia in odontoiatria
Lo studio digitale odontoiatrico permette di pianificare impianti dentali ed estrazioni con maggiore precisione, grazie a tecnologie come tac dentale e scanner intraorale, migliorando comfort e risultati.
Filo interdentale: come si usa e perché è fondamentale
Scopri come usare il filo interdentale correttamente per rimuovere placca e batteri, prevenire carie, tartaro e alitosi e migliorare la tua igiene orale quotidiana.
Denti da latte… perchè curarli?
I denti da latte non servono solo a masticare: guidano la crescita della bocca dei bambini e mantengono lo spazio per i denti permanenti. L’importanza della cura.
Mal di denti: cause, rimedi e cosa fare subito
Il mal di denti può essere molto intenso e avere diverse cause, come carie, ascesso dentale o dente del giudizio. Scopri cosa fare per calmarlo e quando è necessario intervenire dal dentista.
Malocclusione dentale: cos’è, sintomi e come curarla
La malocclusione dentale si verifica quando i denti superiori e inferiori non combaciano correttamente. Può causare difficoltà nella masticazione, cefalea, tensioni cervicali e bruxismo, ma può essere corretta con trattamenti di ortodonzia e apparecchi trasparenti.
I 3 anni di CARES Odontoiatria: intervista ai fondatori
A tre anni dall’apertura di CARES Odontoiatria, i fondatori Marco Cardaropoli e Stefano Andrea Esposito raccontano la visione dello studio e il loro modo di fare odontoiatria, basato su progettazione delle cure e risultati duraturi nel tempo.
Apparecchio trasparente : sorriso perfetto
L’apparecchio trasparente è una soluzione di ortodonzia che allinea i denti in modo discreto, migliorando estetica, funzione e sicurezza nel tempo.
Malattia Parodontale: sintomi, cause e cure
La malattia parodontale è spesso silenziosa ma può far perdere i denti: sintomi, cause e cure spiegati in modo chiaro.
CERCHI CARES, TROVI GARANZIA. CONTATTACI!
Direttore Sanitario Dott. Stefano Andrea Esposito Iscritto all'ordine di Cagliari n° 918 | Cares Srl - P.IVA 03927900922 - Capitale Sociale 25000€ i.v. | Copyright © 2023. Tutti i diritti riservati | Privacy Policy | Cookie |
Reale Mutua pol. n. 2024/03/2559040 massimale 500.000€
Designed by Marketing Therapy with passion.
Contatti
Indirizzo
Via Stazione 79 - 09068 Uta (CA)
Orari di apertura
lun 09:00-18:00
mar 12:00-20:00
mer 09:00-18:00
gio 12:00-20:00
ven 09:00-18:00
sab e dom chiusi
Seguici su:









